Mathews Journal of Gastroenterology & Hepatology

2572-6471

Current Issue Volume 10, Issue 2 - 2025

Prevention and Treatment of Esophageal Reflux Disease: Literature Analysis

Michael D Levin*

Dorot. Medical Center for Rehabilitation and Geriatrics, Netanya, Israel

*Corresponding Author: Michael D Levin, Dorot. Medical Center for Rehabilitation and Geriatrics, Department of Pediatric Radiology of the 1-st State Hospital, Minsk, Belarus, Dorot. Medical Center for Rehabilitation and Geriatrics, Amnon veTamar, Netanya, Israel, Tel: 972-538281393, Email: [email protected]

Received Date: June 02, 2025

Published Date: June 16, 2025

Citation: Levin MD. (2025). Prevention and Treatment of Esophageal Reflux Disease: Literature Analysis. Mathews J Gastroenterol Hepatol. 10(2):33.

Copyrights: Levin MD. © (2025).

ABSTRACT

Currently, the treatment of patients with GERD is limited by diagnostic frameworks, since only those symptomatic individuals are recognized as patients in whom pH monitoring in the esophagus reveals acid with a pH <4 more than 4% of the time out of 24 hours in adults and more than 10% in children. The false idea of the possibility of physiological reflux has led to the fact that more than 30% of patients with GERD are diagnosed with allegedly functional diseases and they do not receive timely treatment. In addition, some patients with GERD are diagnosed with esophageal achalasia based on high-resolution manometry, based on which, instead of treating GERD, they often undergo transection of the LES. With the goal of increasing the effectiveness of conservative treatment and prevent operations, a single set of conservative measures is proposed. In addition to the known methods (lifestyle changes, suppression of hydrochloric acid secretion, use of antacids, and mucous protectors), it is proposed to refuse to take provocateurs of hydrochloric acid. The high efficiency of refusing to take products containing lactose has been proven. In addition, the high efficiency of swallowing large tablets, which are carried by peristalsis through the digestive tract and stretch the sphincters, improving their motor function, has been proven. Conclusion: The article presents a scientific rationale for a comprehensive, uniform treatment of patients with suspected GERD. It has been proven for the first time on a large clinical sample that most patients with GERD are lactose intolerance. Consumption of lactose-containing products causes hypersecretion of hydrochloric acid, despite the use of PPI. Refusal to consume lactose, as well as allergens and histamine-containing products, has a pronounced clinical effect. A pronounced clinical effect of stretching the upper gastrointestinal tract, including anatomical and functional sphincters, by swallowing dense large tablets with a diameter of 1.9 to 2.3 cm has been shown for the first time. The inclusion of these methods in the comprehensive treatment of GERD can significantly reduce the number of cases resistant to conservative therapy and reduce or eliminate surgical treatment.

Keywords: Gastroesophageal Reflux Disease, Etiology, Pathogenesis, Diagnosis, Treatment, Lactose Intolerance, Swallowing Large Tablet.

ABBREVIATIONS

GERD: Gastroesophageal Reflux Disease; TLESR: Transient Lower Esophageal Sphincter Relaxation; PS: Proximal Sphincter; HRM: High-Resolution Manometry; EA: Esophageal Achalasia; AES: Aortoesophageal Sphincter; LT: Large Tablet; LES: Lower Esophageal Sphincter; AS: Antral Sphincter; PyS: Pyloric Sphincter; PBS: Postbulbar Sphincter; SO: Sphincter Oddi.

INTRODUCTION

From the point of view of the philosophy of medicine, the treatment of gastroesophageal reflux disease (GERD) should be determined by the etiology and pathogenesis of the pathological process. In this sense, the generally accepted definition that GERD is a multifactorial disease is unclear, since it does not use scientific terminology. For example, the statement that transient lower esophageal sphincter relaxation (TLESR) is a factor of GERD does not provide an idea of ​​its origin. It is obvious that TLESR is not the cause of GERD but the result of weakness of the LES, which is also considered a "factor". There is convincing evidence in the literature that the weakness of the LES occurs because of its damage by hydrochloric acid. To justify a scientific approach to the treatment of GERD, it is necessary to dwell on its etiology and pathogenesis.

Hypersecretion of hydrochloric acid as the etiology of GERD

The overproduction of acid and the associated illnesses linked to hypersecretion have a lifetime prevalence of 25-35% in the United States [1]. This figure is significantly lower than the true one. Firstly, because about 20% of patients consider themselves healthy and do not seek medical help [2,3]. Secondly, some patients with GERD are registered under other, supposedly functional diseases (functional heartburn, esophageal hypersensitivity, functional dyspepsia, irritable bowel syndrome) [4-6]. This rather large percentage of the United States population differs from the rest of the country in having gastric acid hypersecretory, which, except for rare other causes such as Zollinger-Ellison syndrome, is usually called idiopathic hypersecretion [7]. Previous studies have shown that lactose provokes hypersecretion of hydrochloric acid in most patients with GERD [8-10]. This is not surprising given that 36% of the population in the United States is genetically determined to have lactose intolerance (LI). In the United States, approximately three fourths of African-Americans have the potential for symptoms of lactose intolerance [11]. According to a study by the American Journal of Human Genetics, lactase non-persistence is common among East Asians, with 90-100% of Chinese, Japanese, and Korean individuals affected. In Southeast Asia, the prevalence of lactose intolerance ranges from 50-90%, depending on the specific population. At the same time, the percentage of LI in the peoples of Northern Europe fluctuates from 4% (Ireland, Denmark, Sweden) to 16% in Germany and 19% in Finland. This difference is explained by the fact that mammals consume their mother's milk only during the lactation period. During this time, hydrochloric acid is not secreted, since all the ingredients of milk are absorbed in the intestine without preliminary processing. Secondly, enough lactase is secreted in the small intestine to break down lactose into glucose and galactose. As soon as a young animal switches to food that requires processing with hydrochloric acid, there is a sharp (10-fold) decrease in lactase secretion, since the animal stops consuming milk. Therefore, the East Asians, who have not consumed milk for many centuries, have a lactose intolerance of about 100%. The peoples of Northern Europe, who have consumed products containing lactose for many centuries, have developed genetic resistance to lactose.

Lactose in lactose intolerance is a provocateur of hypersecretion of hydrochloric acid

There is a consensus in the literature on the pathogenesis of LI, which essentially consists of two hypotheses. First, it is believed that lactose, not broken down into its constituent parts in the small intestine, undergoes fermentation in the colon by bacteria to form carbon dioxide, hydrogen, methane, proprionic and butyric acids. Secondly, it states that symptoms occur because of lactose fermentation by bacteria in the colon. The first hypothesis is confirmed by the increase in expired hydrogen and methane during the lactose breath test. The second contradicts the clinical picture. In adult patients with lactose intolerance, in the presence of the esophageal gastric junction gaping, when the contents of the stomach enter the esophagus immediately after eating, heartburn appears 15-30 minutes after drinking even a small amount of milk in a cup of coffee. Since the contents of the stomach enter the large intestine no earlier than 4.2 hours later [12], and lactose fermentation occurs gradually during slow movement through the large intestine, therefore, the appearance of heartburn after 15-30 minutes occurs under the action of another mechanism. In cases where the weakened LES does function, excess acid caused by lactose stimulation may not enter the esophagus immediately, but after some time. Often, patients during severe heartburn neutralize it with a large volume of milk, not realizing that after some time a new attack of heartburn occurs, caused by this milk [10]. Since heartburn is a reaction of the esophagus, not the large intestine. Such a rapid response to lactose intake indicates the presence of a humoral provocateur of hydrochloric acid hypersecretion. Recently, Aguilera-Lizarraga et al showed that injection of “food antigens (gluten, wheat, soy and milk) into the rectosigmoid mucosa of patients with irritable bowel syndrome induced local oedema and mast cell activation” [13]. It is known that mast cell activation leads to the release of histamine, and the histamine directly or through stimulation of gastrin secretion causes the release of hydrochloric acid. Thus, both lactose and other foods can cause the release of histamine from mast cells, like what occurs in allergies. These data suggest that lactose to be the main cause of hypersecretion of hydrochloric acid, since in most patients with GERD, in whom taking PPIs did not relieve symptoms, stopping the use of lactose-containing products led to significant improvement, even in cases where patients were unaware of milk intolerance.

A review of the literature shows that gastroesophageal reflux disease begins in infants with LI at about 2 weeks of age because of the following circumstances. (1) The baby is born with a small stomach cavity. To develop quickly, it sucks out large volumes of milk, which leads to a gradual expansion of the stomach. It regurgitates the excess milk. This functional regurgitation continues for about 4 months and passes when the stomach volume corresponds to the volume of one feeding. (2) While the mother breastfeeds the baby, there is no acid in the contents of the regurgitation, since there is no need for it, and in the small intestine of the baby, enough lactase is secreted to ferment it into glucose and galactose. If during functional regurgitation (2 weeks - 4 months) the baby begins to receive food that requires processing with hydrochloric acid, a change in the program occurs: hydrochloric acid begins to be secreted with a simultaneous tenfold decrease in the secretion of lactase. As a result, when regurgitating excess milk, acid gets into the esophagus, which causes severe pain. This condition is called infant colic. The doctors' statement that parents should not worry, since infant colic will disappear without a trace by 4-6 months is not true, since acid damages the function of the LES and the esophagus, which will inevitably manifest itself in later life. The change of program is irreversible. This means that after switching to food that is treated with hydrochloric acid, returning to full breast (milk) feeding does not lead to the disappearance of gastric acid and an increase in the amount of lactase.

Prevention of gastroesophageal reflux disease

A) Continuous breastfeeding for at least 6 months will prevent the development of infantile colic and primary damage to the LES and esophagus. If the mother does not have enough milk, she can turn to a wet nurse who has excess milk after feeding her own child or receive milk in a medical institution. This should be done before using artificial feeding.

B) If a person is of East Asian (LI - 90-100%), African American (LI - 75%), Ashkenazi Jewish (LI -70%) descent, if his grandparents have lactose intolerance, if genetic testing indicates lactose intolerance, he should not consume products containing lactose, despite the absence of any symptoms. This is explained by the fact that GERD is a chronic relapsing disease that can progress for a long time in the absence of pronounced clinical symptoms [2,3]. Often symptoms begin to bother the patient with severe damage to the function of the LES and esophagus. Although the 2005 Dietary Guidelines recommend consuming three servings of dairy foods per day to ensure adequate calcium intake, among other nutrients [11], there is no scientific evidence on this matter in the literature. On the contrary, the great Chinese civilization developed without drinking milk. Not a single mammal, including elephants, suffers from calcium deficiency, even though they do not drink milk after infancy. Nowadays, there are dairy products that have had lactose removed. It follows that people with lactose intolerance should not consume lactose-containing products to prevent the progression of GERD.

A brief literature review of the etiology, pathogenesis and pathological physiology of GERD

GERD occurs because of hypersecretion of hydrochloric acid, which is provoked by genetically determined factors (lactose intolerance, allergies, histamine intolerance, etc.). In this case, the upper sections of the digestive tract (stomach, duodenum, bile ducts and esophagus) are affected. Only the esophagus has no specific protection from acid, so GERD is the tip of the iceberg that worries the patient first. At the same time, the clinical picture almost always includes symptoms of damage to other sections. GERD begins with the penetration of acid and pepsin into the intra-abdominal part of the LES. They cause irritation and inflammation, which lead to weakening of the LES due to the opening of the intra-abdominal part. This is manifested by shortening of the LES during radiological, manometric and histological examinations [7,14]. During this period, acid does not yet penetrate the esophagus, which contradicts the hypothesis of the possibility of physiological reflux, which allegedly does not damage the esophagus and LES [8,9]. Any amount of acid and pepsin that is sufficient to destroy food proteins causes damage to the LES and esophagus. These data irrefutably prove that all supposedly functional diseases, regardless of pH monitoring results, are GERD. During ontogenesis, the lumen of the esophagus increases, especially above the diaphragm. This extension, regardless of its width, is a phrenic ampulla. It represents the last peristaltic wave. Since the force of the peristaltic wave is weak in the dilated inflammatory esophagus, the ampulla is closed proximally by the functional sphincter (proximal sphincter -PS), which allows the ampulla to create high pressure to open the LES, which should be higher than the pressure in the stomach. Over time, the PS turns into a fibrous ring, which is mistaken for a cranially displaced LES. In GERD against the background of an allergy, which is called eosinophilic esophagitis [15], this fibrous ring becomes narrow and can disrupt the movement of food. This is how Schatzki ring is formed [16].

If normally, with increasing pressure in the stomach, the tone of the LES increases, then in GERD, the weak LES in response to the increase in pressure in the stomach cannot withstand the tension and opens, passing an acid bolus into the esophagus. This so-called transient relaxation of the LES is observed only in GERD. The erroneous assumption that TLESR is also observed in health is due to the low reliability of pH monitoring. It has been shown that 24-hour esophageal pH measurement has a false negative rate of 15% to 30% [2,3,17]. With a DeMeester score <4%, which is considered a physiological norm, acid also damages the esophagus, leading to GERD.

In patients with GERD, the inflammatory process causes an increase in the tone of the LES and esophagus. Expansion of the esophagus reduces the strength of the peristaltic wave. Changes in pressure in the LES and esophagus, as well as impaired esophageal peristalsis, are an integral part of the pathophysiology of GERD. The introduction of high-resolution manometry (HRM) into practice has led to a sharp increase in patients with achalasia of the esophagus. Although achalasia of the esophagus (EA) is still considered a rare disease, there has been a sharp increase in its incidence over the past 50 years. For example, the frequency ЕА per year increased from 0.03 to 32.58 per 100,000 populations (in one of the districts of Chicago) [18] i.e. increased more than 1000 times. As the analysis of the literature shows, this happened because of a change in the understanding of EA pathophysiology. Instead of a disease called idiopathic or classical EA with known characteristics of pathogenesis, manometry, and histology, EA has become a manometric syndrome. To understand this metamorphosis, I found a description of 29 cases of children in the public domain who were diagnosed with EA and underwent radiographic examination. Only in one (3%) of the 29 observations did the radiographic picture correspond to the idea of true EA, but the diagnosis was based only on the radiographic examination. During the Heller myotomy combined with Dor fundoplication operation, histology was not performed. In 19 cases (66%) there was a typical picture of GERD with shortening of the LES and without disturbance of evacuation of the contrast agent from the stomach. In 4 cases, the diagnosis of EA was confirmed by HRM. Transaction of the short LES with the capture of parts of the esophagus and stomach was performed in 15 patients, and balloon dilation in 3. In 4 cases (14%) there was peptic stenosis at the level of the LES, in 3 cases (10%) - congenital stenosis of the esophagus, and in 2 (7%) the diagnosis was unclear, but did not correspond to EA [19]. Analysis of these observations showed that a sharp increase in the number of EA is due to an erroneous diagnosis, because of which in most patients with weakened LES instead of treating GERD, transacted LES was performed. Thus, HRM in patients with GERD records pathological pressure parameters that are signs of esophagitis, but are erroneously interpreted as EA [19], as jackhammer esophagus [20] or another obstructive syndrome. At the same time, HRM, unlike manometry with catheter pulling,is not able to measure the length of the LES [21], a decrease in the length of which is a reliable sign of GERD [22].

TREATMENT OF GASTROESOPHAGEAL REFLUX DISEASE

Current state of the problem

a) The recommendations for the treatment of GERD adopted by the Delphi method are based on the false hypothesis that reflux of aggressive gastric contents into the esophagus is possible in healthy individuals. Therefore, they apply only to those patients who have alarming symptoms that disrupt their daily routine. They exclude patients with a DeMeester score < 4%, as well as those patients in whom the HRM revealed a change in pressure relative to the norm, which was determined in individuals without complaints. It follows that patients with rare heartburn or belching are not recognized as sick and are not prescribed treatment. Patients with a DeMeester score < 4% are diagnosed with functional diseases and are offered short courses of drugs that suppress the secretion of hydrochloric acid (PPI) [23]. If there is no effect, a pathological connection between the digestive tract and the brain is assumed, which has no scientific confirmation. On this basis, drugs not approved by the FDA (USA) are prescribed. Moreover, clinical trials using neuromodulators have been scarce and provided conflicting results [24]. A recent expert consensus, given that prolonged esophageal pH or pH‐impedance‐metry is not available in general practice, recommends the one‐dimensional “ladder” approach of escalating acid inhibition. The “ladder” approach to reflux management involves multiple steps are taken to optimize and/or escalate acid suppression before strategies to address potential non‐acidic causes are considered, such as H2RAs, alginates, mucosal protectants. These recommendations are put forward under the slogan: - "TREATING THE PATIENT, NOT THE DISEASE" [25]. Since each patient with symptoms characteristic of GERD differs from other patients by different duration of the disease, complex of symptoms, their frequency and intensity, the slogan "treat the patient" means that the authors call to treat not the disease, but the symptoms. This idea conflicts with the philosophy of medicine, which states that it is necessary to treat the disease that unites all patients with the same etiology, pathogenesis and pathophysiology. Secondly, H (2) -receptor antagonists (H2RAs), as well as proton-pump inhibitors (PPIs), reduce the secretion of hydrochloric acid, alginates neutralize hydrochloric acid, and mucosal protectants protect the esophageal mucosa from contact with hydrochloric acid. Therefore, calling them non-acidic causes is both unclear and incorrect. At the beginning of treatment (step 1), it is proposed to prescribe once daily PPI ± lifestyle advice; (2nd) - check compliance/timing of PPI dosing; (3rd) - split PPI dose; (4th) - increase PPI dose/ add adjunct {H2RAs, alginates, mucosal protectants}; (5th) - switch PPI; (6th) - non-PPI options/investigation. The authors report that supporting data from controlled clinical studies are limited but recommendations included in the latest evidence‐based guidelines include weight loss, smoking cessation, elevating the head of the bed, avoiding dietary triggers (high‐fat, spicy and acidic foods) and not eating close to bedtime, at least 3 hours before bedtime [26]. The authors believe that gut function and central perception are inextricably linked through the gut‐brain axis [26]. They consider the severe nervous tension that the patient experiences due to constant uncontrolled symptoms of GERD not to be the result of ineffective treatment, but a hypothetical effect of the gut‐brain axis, and they propose treatment whose effectiveness has not been proven. Another group of experts does not mention the gut‐brain axis in their treatment recommendations. They recommend against routine addition of medical therapies in PPI non‐responders and recommend treatment with PPI over treatment with H2RA for healing erosive esophagitis [26]. As an analysis of the literature shows, in the absence of the effect of conservative treatment, patients are offered surgical treatment, after which “up to 30% of patients will develop a prolonged structural complication following fundoplication. Additionally, symptoms such as gas-bloat syndrome, chest pain, and diarrhea following fundoplication are common” [27]. Surgical treatment is performed not only by patients with a confirmed diagnosis of GERD based on pH monitoring, but also with so-called functional disorders [23,28].

Analysis of the effectiveness of the above-described conservative treatment of GERD

All experts participating in the voting proceed from the hypothesis of the possibility of physiological reflux and the idea, that pH monitoring as the gold standard for GERD diagnostics. However, scientific analysis of the literature and our own research irrefutably prove that this hypothesis is not true, and pH monitoring diagnoses only severe forms of GERD [10,15,16,19,21,29-31]. This analysis takes us back to the times when only scientific research served as proof of truth, and not the decisions of experts advertising diagnostic equipment. We again concluded about the high diagnostic accuracy of clinical symptoms and the absence of functional diseases. Pathophysiological treatment of GERD should be based on two factors: hypersecretion of hydrochloric acid and failure of the LES.

The symptoms of the disease may vary depending on the duration of the disease, the degree of damage to the LES, the severity of the inflammatory process, the degree of expansion of the esophagus, and include symptoms of other acid-dependent diseases of the stomach, duodenum and biliary tract. Based on the unity of the etiology and pathogenesis of acid-dependent diseases, the treatment should be uniform and immediately comprehensive, and not stepwise. There is no point in changing one PPI to another, since it is known that their actions are no different from each other. Secondly, there is no reasonable explanation for switching from PPI to H2Ras, since the effectiveness of PPI in suppressing the secretion of hydrochloric acid is superior to H2Ras. Third, high doses of PPI do not change the situation, since PPI-induced inhibition of hydrochloric acid secretion causes iatrogenic hypochlorhydria and hypergastrinemia, which may result in parietal cell hypertrophy and enterochromaffin-like cell hyperplasia, exposing patients to rebound hydrochloric acid hypersecretion [32]. Damage to the LES is caused by excessive secretion of hydrochloric acid. During ontogenesis, because of atrophic gastritis, the amount of hydrochloric acid decreases. But due to the weakness of the LES, the "normal" amount of hydrochloric acid, which successfully destroys food proteins, causes damage to the esophagus wall. Against this background, a sharp increase in the amount of acid is caused by food triggers (lactose, allergens, histamine). Therefore, it is impossible to expect an effect from PPI without eliminating triggers of hypersecretion of hydrochloric acid from the diet.

MY EXPERIENCE OF TREATING GERD

The aim of this study is to propose evidence-based treatment for GERD to minimize the incidence of cases resistant to conservative treatment and reduce the need for surgical intervention. In each case where at least one of the regularly bothering symptoms allows us to suspect GERD, I prescribe the same type of treatment, which includes a whole range of measures: (1) reducing the acidity of gastric juice; (2) preventing episodes of reflux; (3) anti-inflammatory treatment; (4) eliminating the violation of the motor function of the upper digestive tract. Only after symptoms and inflammation in the esophagus have resolved, and the motor function of the esophagus and LES has been restored or improved, is it recommended to reduce the PPI dose and discontinue some drugs.

1) Refusal to take hydrochloric acid hypersecretion provocateurs: In my practice, most often there were patients with lactose intolerance, including 3 patients with allergies. One patient had a histamine intolerance. The onset of the disease begins in infancy, which manifests itself by infantile colic syndrome (in those cases where it was possible to establish) [10]. After this, for several decades, patients considered themselves healthy. Heartburn rarely appeared and patients consumed dairy products without restrictions. Symptoms on a permanent basis most often appeared after forty. Of 60 questionnaires completed by an Ashkenazi Jews family, only 3% had lactose intolerance before age 40 and 20% after age 40. A total of 6 (29%) of 21 experienced worsening after drinking milk (Figure 1) [10].

Figure 1. Three generations of a family, each member of which has his own number in the circle. Women - in a red frame. In the center of the square shows the age. A pink color indicates family members with a clear clinical picture of GERD. The blue asterisk is milk intolerance. The red star is a restless baby.

In 3 (40%) of 7 patients who were found to have a contraction of the functional sphincter at the site of anatomical narrowing of the esophagus by the aortic arch (aortoesophageal sphincter - AES), experienced milk intolerance [30]. Meanwhile, prevalence of the CC (LCT-13910C/T) genotype associated with adult hypolactasia is 83% Ashkenazi Jews [33]. Comparison of these figures proves that most patients with lactose intolerance do not feel the negative impact of dairy products. It is not surprising that all patients who, on my recommendation, stopped consuming dairy products, experienced significant improvement. Figure 2 shows a similar case.

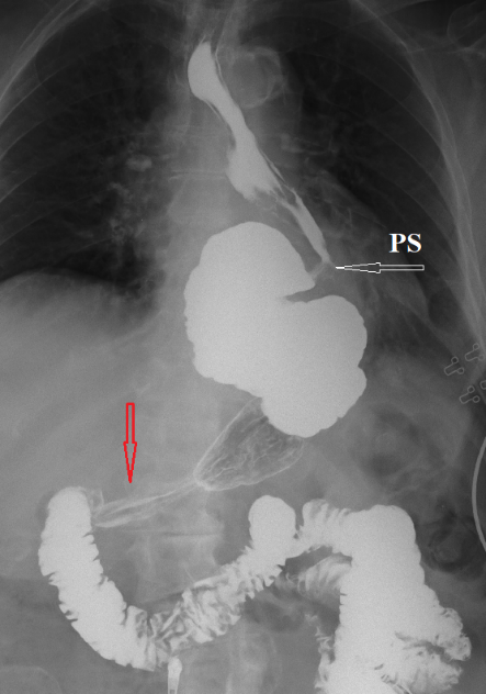
Figure 2. An 84-year-old female patient underwent Nissen fundoplication for GERD. She suffered from severe and frequent heartburn. Two attempts to perform gastroscopy were unsuccessful due to a large amount of food in the esophagus. The X-ray in the vertical position shows an S-shaped esophagus filled with barium between the LES and the proximal sphincter (PS). The red arrow shows contraction of the antrum because of antral gastritis. Evacuation of the contrast agent is not impaired. Since taking PPI did not help with heartburn, she was “saved” by milk. Only drinking a glass of milk relieved the heartburn. She did not know that the next attack of pain was caused by drinking milk. Refusal of milk significantly improved her symptoms.

In the literature, without any evidence, the opinion is spread that with milk intolerance, it is necessary to reduce its volume to a level where no symptoms appear. This is explained by the fact that lactose is supposedly necessary for the absorption of calcium [11]. Firstly, it is known that GERD progresses for a long period without clinical manifestations. Therefore, the absence of symptoms does not exclude the effect of lactose to cause hypersecretion of hydrochloric acid and progression of the disease. Secondly, even a small amount of milk in a cup of coffee causes hypersecretion of hydrochloric acid, which manifests itself as heartburn. Thirdly, as shown above, a lactose-free diet outside of breastfeeding does not harm people's health. Therefore, to prevent the progression of GERD, I recommend refusing to take products containing lactose.

2) Suppression of hydrochloric acid secretion by PPI: According to generally accepted recommendations [32], I prescribe PPI 20 mg twice daily for 4 weeks, then reduce the dose to 20 mg once in the morning 30 minutes before meals. After 8 weeks, I suggest gradually reducing the dose until the complete withdrawal. The exception is cases where a complete failure of the LES was detected during an X-ray examination with maximum gastric pressure. In these cases, complete withdrawal is impossible.

3) Change in lifestyle: Due to the weakness of the LES, an increase in pressure in the stomach does not cause the LES to contract, as is normal, but to relax. Methods for preventing reflux depend on the position of the body.

a) In a vertical position, it is necessary to reduce the volume of a single meal so as not to provoke relaxation of the LES. The following symptoms are indicators of excess volume: the appearance of an annoying cough half an hour after eating, as well as pain syndrome, which can be of varying intensity and quality (heartburn, pressing pain behind the breastbone or in the hypochondrium, a feeling of bloating or bolus). It is recommended to drink water with food to reduce the acidity of the gastric contents.

b) Do not create conditions that lead to an increase in pressure in the stomach (do not use a tight belt, do not exercise, and if the LES is severely weak, do not sit after eating for 1 hour.

c) Take a horizontal position only with an empty stomach. The recommendation to go to bed no earlier than 3 hours after eating is true only for mild forms of GERD. If at night liquid with or without acid gets into the mouth, heartburn or abdominal pain appears, even slightly noticeable, but which does not allow you to fall asleep, then the time between the last meal and sleep should be increased. The last meal should be light, not contain fatty foods, and be with a minimum amount of meat, since these foods lead to a slowdown in evacuation from the stomach. The recommendations in section (B) should become a way of life to prevent the progression of the disease.

4) Antacids and mucous protectors: At the beginning of treatment and in cases of exacerbation of esophagitis, I recommend adding antacids which neutralize hydrochloric acid, as well as protectors of the mucous, which protect the wall of the esophagus from contact with acid, which leads to rapid elimination of the inflammation. My experience confirms the high effectiveness of Esoxx 10 ml before bedtime. Its use is advisable until the elimination of acute inflammation [34]. According to Dajani and Trotman, bismuth salts are one of the mucosal protective drugs [35]. Its high efficiency has been proven experimentally and in practice in the prevention and treatment of damage to the stomach and esophagus [35,36].

5) Improvement of Motility of the Digestive System: As shown earlier, the inflammatory process leads to the thickening of the mucous of the esophagus and LES, which causes the development of connective tissue up to the formation of fibrosis. This leads to sphincter dysfunction. For example, due to LES rigidity the speed of evacuation of the refluxant from the esophagus into the stomach slows down sharply. Acid, pepsin and bile can stay in the esophagus, enhancing its damage. In some cases, this causes stenosis in the esophagus and LES. In such cases, it is diagnosed with achalasia of the esophagus or Jackhammer Esophagus instead of the GERD. Instead of the GERD treatment, the dilatations, or crossing of the LES with esophagus and stomach are carried out [19,20]. To improve the emptying of the stomach at gastroparesis, dilating or dissection of the pyloric sphincter is carried out [37]. In the case of duodenal dyskinesia, which is mistakenly called the Superior Mesenteric Artery Syndrome, the duodeno-jejunal anastomosis is performed [38]. In the case of the sphincter Oddi dysfunction, this sphincter is dissected [39].

Based on the regularity of the motor function of the esophagus, which states that the movement of the bolus in the digestive tract occurs in the cranio-caudal direction because of the peristaltic wave, I perform dilation of all sphincters by offering patients with GERD to drink a dense large tablet (LT) with a diameter of 1.9 cm or 2.3 cm. The tablet is made from equal parts of flour and barium sulfate, dried and covered with a thin layer of a substance that enhances sliding in the oropharynx. The tablet is swallowed on an empty stomach and washed down with water. If the patient feels that the tablet is stuck in the esophagus, it is enough to swallow a piece of bread to push the tablet down. The tablet passes through the entire digestive tract, stretching all narrow segments, including the sphincters. Its movement is not felt by the patient, and it does not damage the tissues of the digestive system. In the process of moving through the digestive tract, the surface layers of LT dissolve and the tablet decreases in size. Therefore, it cannot get stuck in the intestine. All sphincters of the upper gastrointestinal tract are shown in Figure 3a & Figure 3b-3g shows radiographs at different stages of the LT movement through the intestine.

Figure 3. (a). Scheme of the sphincters of the upper gastrointestinal tract (length is shown in brackets). UES-upper esophageal sphincter; AES – aorto-esophageal sphincter; PS – proximal sphincter (0.5-0.7 cm); LES -lower esophageal sphincter (≈ 4 cm); AS – antral sphincter; PyS – pyloric sphincter (≈0.5-1.0 cm); PBS – postbulbar sphincter; Kapanji sphincter (2.05±0.09 cm); SO – sphincter Oddi (≈ 1cm); Ochsner sphincter – (3.2±0.15 cm); duodeno-jejunal sphincter (1.6±0.04 cm). (b-g). LT passed through UES (b); it is before LES (c); in antral chamber (d); in duodenal bulb (e); in small intestine (f); in descending colon.

The LT passes through all the sphincters, stretching them and improving their patency. The exception is the SO, as the tablet passes by to it. However, as can be seen in Figure 8e, the tablet is on its way through the Kapandji (K) and Ochsner (O) sphincters, because of which the pressure in the chamber between these sphincters, where the SO opens, decreases. This facilitates the outflow of bile and pancreatic juice. As the tablet moves through the small intestine, the surface layer of the tablet dissolves, and it decreases in size. In Figure 3f, barium “clouds” are visible in the small intestine, and the diameter of the tablet is noticeably smaller than in the previous stages.

6) The results of the use of a large tablet: For several years I have been offering to swallow LT to patients with GERD symptoms and have assessed the treatment effect based on questionnaires that patients filled out before and 1-6 months after that [40]. The study involved 37 patients who had at least one of the symptoms characteristics of GERD. Patients filled in the questionnaire. They were divided into 2 groups. The first group consisted of 20 patients. They had reflux index (RI - sum of symptoms depending on severity), which is proportional to the severity of GERD, less than 10 (5.4±0.4). The average age was 30 years, and the duration of the disease ranged from 3 to 39 months. In 17 patients of the second group, RI was equal to or more than 10 (20.1 ± 1.6). The average age was 51 years, and the duration of the disease ranged from 5 to 35 years. Patients swallowed 3 tablets with a diameter of 2.0 - 2.5 cm. After 0.5 - 1 month. patients re-filled the questionnaire. Results. In patients of the 1st group after taking the tablets RI decreased to 0.6 ± 0.2 (P <0.001). The effect of treatment lasted from 1 to 7 months. In the 2nd group after swallowing the tablets RI decreased to 10.1 ± 2.8 (P <0.01). In 3 cases, there was no effect on taking the tablets. The positive effect lasted 1-3 weeks. Thus, it has shown that in young and middle-aged people, taking LT alone resulted in the disappearance of symptoms or a significant reduction in symptoms for about 6 months. In older people with a long history the treatment effect was significantly shorter, and in some patients, it was not detected at all [40]. X-ray examination using high pressure in the stomach has shown that the treatment effect depends on the degree of damage to the LES. The effect of stretching the LES was absent in some patients with the LES chalasia (Figure 4а & Figure 4b). However, stretching the aorto-esophageal sphincter (AES) was always accompanied by significant improvement, despite the incompetence of the LES (Figure 4c & Figure 4d) [30].

Figure 4. Radiographs of patients with chalasia EGJ. (a-b). A 68-year-old woman has been ill since her youth, when heartburn appeared. She was diagnosed with asthma when she was young. The bronchospasm attacks passed. A small amount of milk in coffee causes severe heartburn after 15-30 minutes. She takes 20 mg of PPI per day, which is enough to prevent heartburn. Repeated endoscopy always revealed only a “hiatal hernia.” High resolution manometry at the age of 60 years revealed low pressure of the UES and normal tone of the LES. (a). During maximum provocation, a sharp dilation of the esophagus is visible, especially in its ampullary region, as well as a sharp dilation and shortening of the esophago-gastric junction. (b). After 5 minutes, free reflux from the stomach into the esophagus is determined. She swallowed LT twice but felt no effect. (c-d). A 72-year-old man complained of a debilitating cough, change in voice, and a sensation of a foreign body in the throat for 4 months. Very rarely small pieces of food appear in the mouth. For a month he wakes up at night because he is choking on saliva. He does not feel any acid or bitterness in his mouth. He has no heartburn, pain, or dysphagia. About 15 years ago he had heartburn, which went away only after swallowing a tablet with a diameter of about 3 cm. Since then, he considered himself healthy. (с). A sharp shortening of the LES (1 cm), expansion of the esophageal ampulla and symmetrical narrowing of the esophagus at the level of the aortic arch (arrow) are detected. (d). After 5 minutes of free reflux of barium from the stomach into the esophagus is determined.

The patient swallowed a tablet with a diameter of 1.9 cm. After this, he stopped choking on saliva at night. This is a typical example of the formation of a functional sphincter over the aortic narrowing of the esophagus (AES), which was responsible for the non-esophageal symptoms. As a result of the tablet passing through this functional narrowing, the symptoms are resolved without the use of other methods.

Results of complex treatment

GERD is a chronic progressive relapsing disease. Therefore, it is impossible to accurately present the results of complex treatment in numerical terms. Firstly, because the patients who sought help were of different ages and with different degrees of damage to the LES and esophagus. Periods of relief in some of them alternated with periods of relapse. Secondly, very few of them used the entire complex of the treatment I proposed. For example, not everyone agreed to give up the use of products containing lactose. Not only because they did not feel the connection between symptoms and milk intake, but also because this recommendation contradicted generally accepted opinions. However, every time I managed to convince patients to try to exclude any products containing lactose, they were convinced that milk made their symptoms worse. Some of them could not give up butter or cheese. Thirdly, most patients felt healthy after taking the pills and stopped following the recommendations for changing their lifestyle. I think that is why after 3-6 months their symptoms returned and they asked give them another LT. Thanks to the returned questionnaires that I periodically send to patients who came to me for consultation, not one of them thought about the possibility of surgical treatment.

DISCUSSION

In previous literature analysis I have proven that pH monitoring in the esophagus was developed with gross methodological violations and initially contradicted the scientific achievements of the physiology of the digestive tract [8,9,10,15,16,20,29,30,38,40]. Therefore, it allows diagnosing only severe forms of GERD, which defines this method as not only useless, but also a very dangerous study. As a result of its use, more than in 30% of patients with GERD this diagnosis is excluded, and patients do not receive timely pathogenetic treatment. Advertising of pH monitoring, impedance pH research and HRM by the same specialists, because of consensus adopted by the Delphi method, indicates the personal financial interest of these specialists in the financial well-being of manufacturers of unnecessary equipment [15]. Having rejected esophageal pH monitoring and impedance-pH monitoring as a method for diagnosing GERD, we again concluded (1) about the high accuracy of clinical symptoms and the understanding (2) that any acid reflux into the esophagus is pathological and all supposed functional disorders are GERD and require the same type of pathogenetic treatment. (3) GERD is only the visible part of the "iceberg" that is detected because of hypersecretion of hydrochloric acid. Its invisible part (gastritis, duodenitis, biliary dyskinesia) leaves its mark on the clinical picture and pathogenesis of the disease and requires treatment.

Although lactose intolerance is known to cause painful symptoms, no articles have linked lactose intolerance to GERD. As a result of the analysis of treatment of patients with GERD, I proved for the first time that the number of cases resistant to PPI treatment can be significantly reduced by eliminating products that provoke hypersecretion of hydrochloric acid. Recommendations for preventing the development of GERD in infants are given. Numerous examples have proven that refusal to consume products containing lactose leads to clinical improvement, which is confirmed by a significant decrease in the reflux index according to questionnaires [10,30].

It is known that the inflammatory process leads to increased tone of the esophageal wall and LES, and expansion of the esophagus leads to weakening of peristalsis. Understanding the relationship between GERD and esophageal achalasia (EA) is of fundamental importance for the diagnosis and treatment of patients with dysphagia. Hallal et al described 13 patients with EA, 6 (46%) of whom were previously treated as having GERD and asthma. They concluded that achalasia symptoms may mimic common diseases in children, and therefore, may delay the diagnosis [41]. In other words, they believed that the diagnosis of GERD was incorrect, which only led to a delay in the correct diagnosis of EA. At the same time, according to Nurko and Rosen, a diversity of motility disorders has been found in patients with EE including achalasia. They showed that some evidence suggests that treatment of EE will result in some improvements in motility [42]. Shieh et al. reported that before POEM, 49 (53%) of 92 adult patients had typical GERD symptoms, as defined by a GerdQ score ≥8, while only 13 (14.1%) showed erosive esophagitis on endoscopy [43]. These figures about the incidence of GERD under the so-called EA are far from the truth. First, it is known that a normal endoscopy does not exclude GERD. It is used only for the diagnosis of GERD complications (erosions, stenoses, Barrett’s esophagitis and tumors [44]. Therefore, we have no reason to doubt that 53% of patients in whom POEM was performed were diagnosed with GERD. According to Shoenut et al, most untreated patients with achalasia are acid exposure in the distal esophagus using 24-h ambulatory esophageal pH studies [45]. Based on the above, we can say that almost all patients with so-called EA suffered from reflux disease. The assertion of some authors that the diagnosis of GERD in patients with EA was erroneous is refuted by numerous reports of the diagnosis of GERD using pH monitoring [45-48].

Instead of transecting the LES together with parts of the esophagus and stomach, with irreversible loss of LES function and a high probability (more than 17.8%) of developing a blown-out myotomy (BOM) [49], I give patients to swallow dense large tablets with a diameter of 1.9 to 2.3 cm, which are pushed by a peristaltic wave through all parts of the digestive tract, causing a pronounced therapeutic effect without damaging tissue. Such treatment can be carried out repeatedly, preferably in combination with other methods.

If uniform treatment of GERD does not relieve the patient of symptoms, then first it is necessary to conduct an endoscopic examination to exclude erosion, stenosis, Barrett's esophagus or a tumor. If non-esophageal symptoms predominate or the degree of damage to the LES and functional esophageal sphincters are unclear, I recommend an X-ray examination with the highest possible pressure in the stomach [22].

CONCLUSION

The article presents a scientific rationale for a comprehensive, uniform treatment of patients with suspected GERD. It has been proven for the first time on a large clinical sample that most patients with GERD are lactose intolerance. Consumption of lactose-containing products causes hypersecretion of hydrochloric acid, despite the use of PPI. Refusal to consume lactose, as well as allergens and histamine-containing products, has a pronounced clinical effect. A pronounced clinical effect of stretching the upper gastrointestinal tract, including anatomical and functional sphincters, by swallowing dense large tablets has been shown for the first time. The inclusion of these methods in the comprehensive treatment of GERD can significantly reduce the number of cases resistant to conservative therapy and significantly reduce the need for surgical treatment.

ACKNOWLEDGEMENTS

None.

CONFLICTS OF INTEREST

The author declares that there are no conflicts of interest.

REFERENCES

  1. Kirchhoff P, Socrates T, Sidani S, Duffy A, Breidthardt T, Grob C, et al. (2011). Zinc salts provide a novel, prolonged and rapid inhibition of gastric acid secretion. Am J Gastroenterol. 106(1):62-70.
  2. Yoo SS, Lee WH, Ha J, Choi SP, Kim HJ, Kim TH, et al. (2007). The prevalence of esophageal disorders in the subjects examined for health screening. Korean J Gastroenterol. 50(5):306-312.
  3. Lee JH, Kim N, Chung IK, Jo YJ, Seo GS, Kim SW, et al. (2008). Clinical significance of minimal change lesions of the esophagus in a healthy Korean population: a nationwide multi-center prospective study. J Gastroenterol Hepatol. 23(7 Pt 1):1153-1157.
  4. Voulgaris T, Hoshino S, Sifrim D, Yazaki E. (2023). Improved diagnosis of reflux hypersensitivity. Neurogastroenterol Motil. 35(12):e14680.
  5. Fass R, Sifrim D. (2009). Management of heartburn not responding to proton pump inhibitors. Gut. 58(2):295-309.
  6. de Bortoli N, Tolone S, Frazzoni M, Martinucci I, Sgherri G, Albano E, et al. (2018). Gastroesophageal reflux disease, functional dyspepsia and irritable bowel syndrome: common overlapping gastrointestinal disorders. Ann Gastroenterol. 31(6):639-648.
  7. Osefo N, Ito T, Jensen RT. (2009). Gastric acid hypersecretory states: recent insights and advances. Curr Gastroenterol Rep. 11(6):433-441.
  8. Levin MD. (2023). Gastrointestinal Motility and Law of the Intestine. (Preprint). DOI: 10.20944/preprints202312.2003.v1.
  9. Levin MD. (2025). Hydrochloric acid hypersecretion is the cause of pathology of the upper digestive tract. Literature analysis. Preprint v1· DOI: 10.32388/4QXH2Q.
  10. Levin MD. (2025). Pathogenesis of Infantile Colic. Hypothesis. Mathews J Gastroenterol Hepatol. 10(1):29.
  11. Byers KG, Savaiano DA. (2005). The myth of increased lactose intolerance in African-Americans. J Am Coll Nutr. 24(6 Suppl):569S-573S.
  12. Roland BC, Ciarleglio MM, Clarke JO, Semler JR, Tomakin E, Mullin GE, et al. (2015). Small Intestinal Transit Time Is Delayed in Small Intestinal Bacterial Overgrowth. J Clin Gastroenterol. 49(7):571-576.
  13. Aguilera-Lizarraga J, Florens MV, Viola MF, Jain P, Decraecker L, Appeltans I, et al. (2021). Local immune response to food antigens drives meal-induced abdominal pain. Nature. 590(7844):151-156.
  14. Chandrasoma P, DeMeester T. (2016). A New Pathologic Assessment of Gastroesophageal Reflux Disease: The Squamo-Oxyntic Gap. Adv Exp Med Biol. 908:41-78.
  15. Levin MD. Eosinophilic Esophagitis: Etiology, Pathogenesis, Diagnosis and Treatment. Hypothesis. DOI: 10.20944/preprints202501.1947.v1.
  16. Levin MD, Mendelson G. (2015). Schatzki ring as a symptom gastroesophageal reflux disease. Vestn Rentgenol Radiolog. (1):5-15.
  17. Stål P, Lindberg G, Ost A, Iwarzon M, Seensalu R. (1999). Gastroesophageal reflux in healthy subjects. Significance of endoscopic findings, histology, age, and sex. Scand J Gastroenterol. 34(2):121-128.
  18. Samo S, Carlson DA, Gregory DL, Gawel SH, Pandolfino JE, Kahrilas PJ. (2017). Incidence and Prevalence of Achalasia in Central Chicago, 2004-2014, Since the Widespread Use of High-Resolution Manometry. Clin Gastroenterol Hepatol. 15(3):366-373.
  19. Levin MD. (2024). Esophageal achalasia or gastroesophageal reflux? Pediatric cases analysis. Gastroenterol Hepatol Open Access. 15(6):174-184.
  20. Levin MD. (2023). Jackhammer Esophagus - Symptom or Diagnosis? Review. JSM Gastroenterol Hepatol. 10(1):1118.
  21. Levin MD. (2019). Reaction to articles on high resolution manometry, the length of the lower esophageal sphincter and the diagnosis of gastroesophageal reflux disease. Arq Gastroenterol. 56(2):209-210.
  22. Levin MD. (2025). X-Ray Imaging of the Esophagus and Lower Esophageal Sphincter and Its Role in the Diagnosis of Gastroesophageal Reflux Disease. Mathews J Gastroenterol Hepatol. 10(2):31.
  23. Gyawali CP, Yadlapati R, Fass R, Katzka D, Pandolfino J, Savarino E, et al. (2024). Updates to the modern diagnosis of GERD: Lyon consensus 2.0. Gut. 73(2):361-371.
  24. Savarino V, Marabotto E, Zentilin P, Demarzo MG, Pellegatta G, Frazzoni M, et al. (2020). Esophageal reflux hypersensitivity: Non-GERD or still GERD? Dig Liver Dis. 52(12):1413-1420.
  25. Hungin APS, Scarpignato C, Keefer L, Corsetti M, Anastasiou F, Muris JWM, et al. (2022). Review article: rethinking the "ladder" approach to reflux-like symptom management in the era of PPI "resistance" - a multidisciplinary perspective. Aliment Pharmacol Ther. 55(12):1492-1500.
  26. Katz PO, Dunbar KB, Schnoll-Sussman FH, Greer KB, Yadlapati R, Spechler SJ. (2022). ACG Clinical Guideline for the Diagnosis and Management of Gastroesophageal Reflux Disease. Am J Gastroenterol. 117(1):27-56.
  27. Yadlapati R, DeLay K. (2019). Proton Pump Inhibitor-Refractory Gastroesophageal Reflux Disease. Med Clin North Am. 103(1):15-27.
  28. Sawada A, Sifrim D, Fujiwara Y. (2023). Esophageal Reflux Hypersensitivity: A Comprehensive Review. Gut Liver. 17(6):831-842.
  29. Levin MD. (2025). Functional Heartburn is Gastroesophageal Reflux. (2025). Mathews J Gastroenterol Hepatol. 10(1):28.
  30. Levin MD. (2025). Aorto-Esophageal Sphincter and its role in the pathogenesis of the gastroesophageal reflux: cases report and analysis. Gastroenterol Hepatol Open Access. 16(1):1-8.
  31. Levin MD. (2024). Gastrointestinal motility and law of the intestine. Gastroenterol Hepatol Open Access. 15(5):163-172.
  32. Ksiądzyna D, Szeląg A, Paradowski L. (2015). Overuse of proton pump inhibitors. Pol Arch Med Wewn. 125(4):289-298.
  33. Raz M, Sharon Y, Yerushalmi B, Birk R. (2013). Frequency of LCT-13910C/T and LCT-22018G/A single nucleotide polymorphisms associated with adult-type hypolactasia/lactase persistence among Israelis of different ethnic groups. Gene. 519(1):67-70.
  34. Romano C, Scarpignato C. (2022). Pharmacologic treatment of GERD in adolescents: Is esophageal mucosal protection an option? Therap Adv Gastroenterol. 15:17562848221115319.
  35. Dajani EZ, Trotman BW. (1992). Drugs for treatment of peptic ulcers. J Assoc Acad Minor Phys. 3(3):78-88.
  36. Tay HP, Chaparala RC, Harmon JW, Huesken J, Saini N, Hakki FZ, et al. (1990). Bismuth subsalicylate reduces peptic injury of the oesophagus in rabbits. Gut. 31(1):11-16.
  37. Verga MC, Mazza S, Azzolini F, Cereatti F, Conti CB, Drago A, et al. (2022). Gastric per-oral endoscopic myotomy: Indications, technique, results and comparison with surgical approach. World J Gastrointest Surg. 14(1):12-23.
  38. Levin MD. (2024). Superior Mesenteric Artery Syndrome Results from Hypersecretion of Hydrochloric Acid. (Preprint). DOI: 10.20944/preprints202401.0605.v1.
  39. Walia S, Zaidi MY, McGuire S, Milam C, Fogel EL, Sherman S, et al. (2023). Contemporary Outcomes of Transduodenal Sphincteroplasty: the Importance of Surgical Quality. J Gastrointest Surg. 27(12):2885-2892.
  40. Levin MD. Examination and treatment of patients with gastroesophageal reflux disease in primary care. Available at: https://www.anorectalmalformations.com/_files/ugd/4d1c1d_81aa51b192f4488692f52f5ac6a3818d.pdf
  41. Hallal C, Kieling CO, Nunes DL, Ferreira CT, Peterson G, Barros SG, et al. (2012). Diagnosis, misdiagnosis, and associated diseases of achalasia in children and adolescents: a twelve-year single center experience. Pediatr Surg Int. 28(12):1211-1217.
  42. Nurko S, Rosen R. (2008). Esophageal dysmotility in patients who have eosinophilic esophagitis. Gastrointest Endosc Clin N Am. 18(1):73-89.
  43. Shieh TY, Chen CC, Chou CK, Hu TY, Wu JF, Chen MJ, et al. (2022). Clinical efficacy and safety of peroral endoscopic myotomy for esophageal achalasia: A multicenter study in Taiwan. J Formos Med Assoc. 121(6):1123-1132.
  44. Gyawali CP, Kahrilas PJ, Savarino E, Zerbib F, Mion F, Smout AJPM, et al. (2018). Modern diagnosis of GERD: the Lyon Consensus. Gut. 67(7):1351-1362.
  45. Shoenut JP, Micflikier AB, Yaffe CS, Den Boer B, Teskey JM. (1995). Reflux in untreated achalasia patients. J Clin Gastroenterol. 20(1):6-11.
  46. Smart HL, Mayberry JF, Atkinson M. (1986). Achalasia following gastro-oesophageal reflux. J R Soc Med. 79(2):71-73.
  47. Pyun JE, Choi DM, Lee JH, Yoo KH, Shim JO. (2015). Achalasia Previously Diagnosed as Gastroesophageal Reflux Disease by Relying on Esophageal Impedance-pH Monitoring: Use of High-Resolution Esophageal Manometry in Children. Pediatr Gastroenterol Hepatol Nutr. 18(1):55-59.
  48. Kumar N, Gadgade BD, Shivapur AA, Radhakrishna V, Vasudev RB. (2023). Evaluation and Management of Achalasia Cardia in Children: A Retrospective Observational Study. J Indian Assoc Pediatr Surg. 28(5):369-374.
  49. Triggs JR, Krause AJ, Carlson DA, Donnan EN, Campagna RAJ, Jain AS, et al. (2021). Blown-out myotomy: an adverse event of laparoscopic Heller myotomy and peroral endoscopic myotomy for achalasia. Gastrointest Endosc. 93(4):861-868.e1.

Creative Commons License

© 2015 Mathews Open Access Journals. All Rights Reserved.

Open Access by Mathews Open Access Journals is licensed under a
Creative Commons Attribution 4.0 International License.
Based On a Work at Mathewsopenaccess.com